Taq DNA Polymerase: The Cornerstone of PCR
Discover the versatility and efficiency of Taq DNA Polymerase, the essential enzyme for polymerase chain reaction (PCR) amplification. This thermostable enzyme has revolutionized molecular biology, enabling researchers to amplify and analyze DNA with remarkable accuracy and speed.
Taq DNA Polymerase: The Epitome of Thermostable DNA Amplification

Introduction
Taq DNA Polymerase, a revolutionary enzyme derived from the thermophilic bacterium Thermus aquaticus, has become an indispensable tool in molecular biology research. Its exceptional thermostability, remarkable processivity, and high fidelity make it the cornerstone of the polymerase chain reaction (PCR) technique.
Features
- Exceptional Purity: Taq DNA Polymerase boasts a purity of over 95%, ensuring minimal interference from impurities and maximizing reaction efficiency.
- Broad Compatibility: The enzyme exhibits compatibility with a wide range of buffers, remaining active under varying pH conditions (pH 8.3-11.6), offering versatility for diverse applications.
- Enhanced Sensitivity: Modifications to the enzyme have improved template affinity, enabling the detection of even low-concentration templates with exceptional sensitivity.
- Unparalleled Specificity: Taq DNA Polymerase produces single, distinct target bands during electrophoresis, eliminating concerns about non-specific amplification.
Applications
Taq DNA Polymerase's versatility extends to a wide array of molecular biology applications, including:
- Routine PCR Amplification: The enzyme serves as the workhorse for routine PCR amplification, enabling rapid and efficient amplification of target DNA sequences.
- RT-qPCR: Taq DNA Polymerase plays a crucial role in reverse transcription quantitative PCR (RT-qPCR), facilitating the accurate quantification of RNA molecules.
- Fluorescent Quantitative PCR: The enzyme's compatibility with fluorescent dyes makes it ideal for fluorescent quantitative PCR (qPCR) applications, enabling real-time monitoring of DNA amplification.
- Direct TA Cloning: Taq DNA Polymerase's 3'-A overhang generation capability allows for direct TA cloning, simplifying the process of inserting PCR products into plasmids.
Product Data
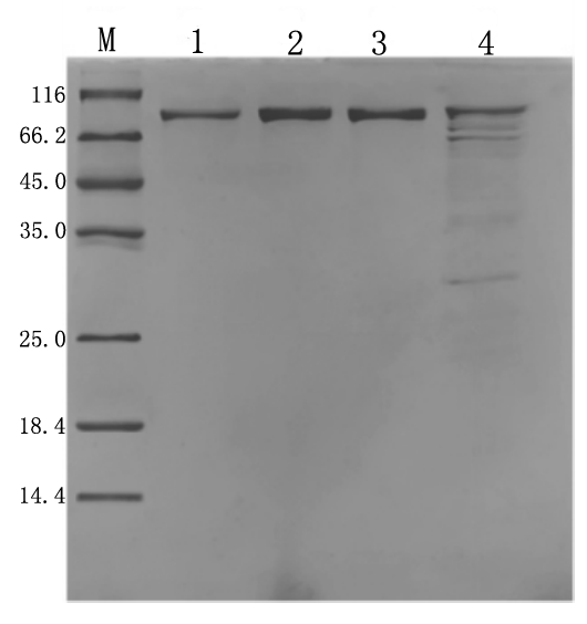
SDS-PAGE electrophoresis purity

Line 1、2、3:CSB-DEM023 Taq DNA Polymerase
Line 4:A certain brand of Taq DNA polymerase
Amplification of different fragment lengths
Line1-5:Fragment size 460/750/1500/2100/3900bp
M:Trans8K DNA Marker
Comparative testing with competitive enzymes :

Product Manual

| Property | Value |
|---|---|
| Product Name | Taq DNA Polymerase |
| Source | Recombinant expressed in E. coli |
| Catalog Number | CSB-DEM023 |
| Physical Form | Liquid |
| Enzyme Activity | 5 U/μL |
| Storage Conditions | -20 ±5°C |
| Molecular Weight | 94 kDa |
| Storage Buffer | 10 mM Tris-HCl, 100 mM KCl, 1 mM DTT, 0.1 mM EDTA, 0.5% Tween20, 0.5% NP-40, 50% Glycerol |
| Activity Definition | The amount of enzyme required to incorporate 10 nmol of deoxynucleotide into acid-insoluble material within 30 min at 75°C is defined as one unit of activity (U). |
| Quality Control | No detectable exonuclease and endonuclease activities |
| Shelf Life | 24 months |
Taq DNA Polymerase : The Unwavering Catalyst of Molecular Amplification
In the realm of molecular biology, Taq DNA Polymerase stands as a beacon of efficiency and precision, an enzyme meticulously engineered to orchestrate the intricate dance of DNA replication. Born from the heat-loving bacterium Thermus aquaticus, this polymerase possesses an unwavering thermostability, allowing it to withstand the scorching temperatures of PCR cycles without succumbing to denaturation.
With its 5'-3' polymerase activity, Taq DNA Polymerase deftly strings together complementary nucleotides, meticulously synthesizing new DNA strands with remarkable fidelity. Simultaneously, its 5'-3' exonuclease activity acts as a meticulous proofreader, meticulously excising any mismatched nucleotides, ensuring the integrity of the amplified DNA.
Taq DNA Polymerase's versatility extends beyond routine PCR amplification, seamlessly adapting to both SYBR Green dye-based and probe-based fluorescence quantitative PCR methods. When paired with an optimized buffer system, its performance reaches new heights, enabling researchers to quantify minute quantities of DNA with unparalleled precision.

This remarkable enzyme's tolerance for dUTP, dITP, and fluorescently labeled nucleotides further expands its repertoire, opening doors to a myriad of specialized applications. The PCR products generated by Taq DNA Polymerase bear a distinctive single dA nucleotide overhang at the 3' end, rendering them directly compatible with TA cloning techniques, streamlining the process of inserting amplified DNA into plasmids.

Taq DNA Polymerase, a true masterpiece of molecular engineering, stands as an indispensable tool in the arsenal of every molecular biologist. Its unwavering thermostability, exceptional processivity, and high fidelity make it the cornerstone of PCR amplification, enabling researchers to unravel the mysteries of DNA with remarkable clarity and efficiency.

| No. | Component Name | Specifications |
|---|---|---|
| 1 | 5×PCR Buffer | 1.2 mL, 6 mL, 12 mL |
| 2 | Taq DNA Polymerase | 500 U, 2500 U, 5000 U |
