Taq DNA Polymerase: The Versatile Enzyme That Revolutionized Molecular Biology

Taq DNA Polymerase is a thermostable enzyme derived from Thermus aquaticus, a bacterium that thrives in hot springs. It is a key component of the polymerase chain reaction (PCR), a technique used to amplify DNA for various applications in molecular biology.

Connect with us

Thermostable DNA Polymerase for Efficient Amplification

Taq DNA Polymerase is a thermostable enzyme that is used to amplify DNA for various applications in molecular biology. It is a key component of the polymerase chain reaction (PCR), a technique that allows scientists to amplify small amounts of DNA into millions or even billions of copies. Taq DNA Polymerase is highly processive, meaning that it can synthesize long strands of DNA without dissociating from the template. This makes it an efficient enzyme for PCR, as it allows for the amplification of long DNA fragments.

Taq Polymerase: A Versatile Tool for Molecular Biology

Taq DNA Polymerase is a versatile enzyme that can be used for a variety of applications in molecular biology. It is most commonly used for PCR, but it can also be used for other techniques such as DNA cloning and mutagenesis. Taq DNA Polymerase is a highly accurate enzyme, meaning that it introduces very few errors during DNA replication. This makes it a valuable tool for research and diagnostic applications.

Product Overview

Taq DNA polymerase is a highly purified, thermostable enzyme derived from the thermophilic bacterium Thermus aquaticus. It possesses both 5'-3' polymerase and 5'-3' exonuclease activities, making it an essential tool for a wide range of molecular biology applications.

Product Highlights
  • Exceptional Purity: Taq DNA polymerase exhibits a purity level exceeding 95%, ensuring minimal interference from residual nucleases or host genomic DNA.
  • Broad Buffer Compatibility: The enzyme demonstrates remarkable compatibility with diverse buffers, maintaining its activity within a pH range of 8.3 to 11.6, offering flexibility for experimental conditions.
  • Enhanced Sensitivity: Through targeted modifications, Taq DNA polymerase exhibits improved template affinity, significantly enhancing the detection sensitivity of low-concentration templates.
  • High Specificity: Taq DNA polymerase generates single, distinct target bands upon electrophoresis, devoid of trailing or nonspecific amplification products.
Product Applications

Taq DNA polymerase serves as a cornerstone for a variety of molecular biology techniques, including:

  • Routine PCR Amplification: Taq DNA polymerase is the gold standard for routine PCR amplification, enabling the efficient generation of DNA segments for various downstream applications.
  • Real-Time Quantitative PCR (RT-qPCR): Taq DNA polymerase is indispensable for RT-qPCR, facilitating the precise quantification of gene expression levels.
  • Fluorescent Quantitative PCR: Taq DNA polymerase plays a pivotal role in fluorescent quantitative PCR, enabling the sensitive and accurate detection of specific DNA sequences.
  • TA Cloning: Taq DNA polymerase's terminal transferase activity allows direct TA cloning of PCR products, facilitating efficient gene cloning and expression studies.
Product Specifications
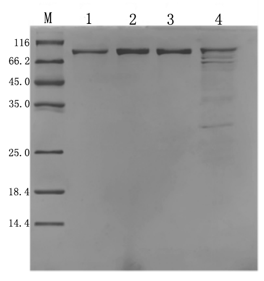
  • Purity: >95% as assessed by SDS-PAGE electrophoresis

Line 1、2、3:CSB-DEM023 Taq DNA Polymerase

Line 4:A certain brand of Taq DNA polymerase

Amplification of different fragment lengths

Line1-5:Fragment size 460/750/1500/2100/3900bp

M:Trans8K DNA Marker

Comparative testing with competitive enzymes


Product Specification

PropertyValue
Product NameTaq DNA Polymerase
SourceRecombinant expressed in E. coli
Catalog NumberCSB-DEM023
Physical FormLiquid
Enzyme Activity5 U/µL
Storage Conditions-20 ±5°C
Molecular Weight94 kDa
Storage Buffer10 mM Tris-HCl, 100 mM KCl, 1 mM DTT, 0.1 mM EDTA, 0.5% Tween20, 0.5% NP-40, 50% Glycerol
Activity DefinitionThe amount of enzyme required to incorporate 10 nmol of deoxynucleotide into acid-insoluble material within 30 min at 75°C is defined as one unit of activity (U).
Quality ControlNo detectable exonuclease and endonuclease activities
Shelf Life24 months


Product Description

Experience superior DNA amplification with Taq DNA Polymerase, a recombinantly expressed thermostable enzyme boasting 5'-3' polymerase activity and 5'-3' exonuclease activity. This versatile polymerase is well-suited for both regular PCR and fluorescence quantitative PCR, including the SYBR Green dye method and probe method, especially when paired with our optimized buffer system. Notably, it exhibits tolerance to dUTP, dITP, and fluorescently labeled nucleotides.

The resulting PCR product carries a distinctive single dA nucleotide overhang at the 3' end, facilitating its direct application for TA cloning purposes.

Product Components

Component No.Component NameSpecifications
15× PCR Buffer1.2 mL, 6 mL, 12 mL
2Taq DNA Polymerase500 U, 2500 U, 5000 U


Taq DNA Polymerase: A Cornerstone of Molecular Biology

Taq DNA polymerase is a thermostable DNA polymerase enzyme isolated from the thermophilic bacterium Thermus aquaticus, found in hot springs. It has revolutionized molecular biology due to its remarkable ability to withstand high temperatures, enabling efficient and accurate DNA amplification through the polymerase chain reaction (PCR) technique.

Key Characteristics of Taq DNA Polymerase:
  • Thermostability: Taq DNA polymerase remains active at high temperatures, typically around 72°C, allowing for PCR cycling without enzyme degradation. This characteristic eliminates the need for enzyme replacement between cycles, streamlining the PCR process.
  • Processivity: Taq DNA polymerase exhibits high processivity, meaning it can synthesize long DNA strands without dissociation from the template DNA. This property ensures efficient and complete DNA amplification.
  • Fidelity: Taq DNA polymerase maintains high fidelity, introducing minimal errors during DNA replication. This accuracy is crucial for downstream applications that rely on precise DNA sequences.
  • Versatility: Taq DNA polymerase finds applications in a wide range of molecular biology techniques beyond PCR, including DNA cloning, mutagenesis, and gene expression analysis.
Applications of Taq DNA Polymerase:
  1. Polymerase Chain Reaction (PCR): Taq DNA polymerase is the cornerstone of PCR, enabling the amplification of specific DNA fragments from minute amounts of DNA. PCR is widely used in research, diagnostics, and forensic applications.
  2. Real-Time Quantitative PCR (RT-qPCR): Taq DNA polymerase plays a critical role in RT-qPCR, allowing for the precise quantification of gene expression levels. RT-qPCR is essential for studying gene regulation and disease mechanisms.
  3. DNA Cloning: Taq DNA polymerase's terminal transferase activity facilitates TA cloning, a technique for ligating PCR products directly into plasmids for gene expression studies.
  4. Site-Directed Mutagenesis: Taq DNA polymerase is employed in site-directed mutagenesis, enabling the introduction of specific mutations into DNA sequences for functional studies and protein engineering.
  5. Forensic Analysis: Taq DNA polymerase is utilized in forensic analysis to amplify DNA from trace samples at crime scenes for identification purposes.
  6. Medical Diagnosis: Taq DNA polymerase is instrumental in medical diagnosis, enabling the detection of infectious agents, genetic disorders, and cancer cells.
Impact of Taq DNA Polymerase:

Taq DNA polymerase has had a profound impact on molecular biology, revolutionizing various fields and enabling groundbreaking discoveries. Its ability to efficiently amplify DNA has facilitated genetic research, diagnostics, and biotechnology, leading to significant advancements in medicine, forensics, and agriculture.

Without Taq DNA polymerase, PCR, a cornerstone technique in molecular biology, would not be possible. The enzyme's thermostability and processivity have made PCR a ubiquitous tool for amplifying DNA, enabling scientists to study genes, diagnose diseases, and develop novel technologies. Taq DNA polymerase has undoubtedly transformed molecular biology and continues to play an indispensable role in various fields of scientific research.